SOMOS PIONEROS EN CARILLAS SIN TALLAR, no desgastamos tus dientes.
Blanqueamientos adaptados para personas con sensibilidad.
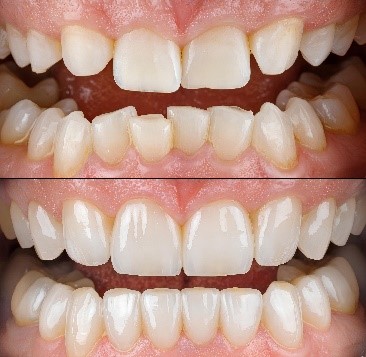
Carillas dentales
Las carillas son unas finas láminas de diferentes materiales muy resistentes como composite, porcelana, disilicato, feldespáticas… que se colocan sobre el esmalte, capaces de aportar una estética absolutamente natural, logrando corregir alteraciones de morfología, forma o color de los mismos de forma indolora, rápida y mínimamente invasiva.
Si usted cree que puede mejorar su aspecto estético dental, no dude en hacernos una consulta donde le explicaremos todas las posibilidades y alternativas para mejorar su aspecto dental.

¿Cuándo usar las carillas dentales?

Hay que tener en cuenta que las carillas no sirven para corregir problemas de salud dental, como una carie o la maloclusión de los dientes. Su utilidad es fundamentalmente estética y se suelen recurrir a ellas para corregir los dientes del frente anterior. Normalmente se emplean para solucionar defectos como:
- Fracturas por contusiones
- Esmaltes desgastados o que presentan manchas
- Irregularidades en la forma o el tamaño
- Ligeras separaciones entre dos piezas dentales
Ventajas de las carillas dentales
- Cero molestias: Las carillas dentales se fabrican para que tengan un grosor muy fino, por lo que no interceden en la vida diaria de la persona ni le incomodan a la hora de comer y hablar.
- Solución natural y personalizada: Cada sonrisa es única. Por eso, en Ciro estudiamos la forma y las proporciones de tu rostro y de tu sonrisa para fabricar las carillas a medida. Así es como conseguimos sonrisas con armonía.
- Antes de que puedas darte cuenta: El tratamiento con carillas es muy rápido. En tan solo un par de visitas nos da tiempo a realizar el diagnóstico, fabricar las carillas, colocarlas y ajustarlas para que disfrutes de ellas todo el tiempo posible.



Blanqueamientos personalizados según las necesidades del paciente




